Специалисты из американской клиники Мэйо раскрыли скрытый механизм, который связывает употребление алкоголя с развитием жировой болезни печени. Вот что стоит узнать!
Жировая болезнь печени — метаболически ассоциированная стеатотическая болезнь — сегодня поражает более трети жителей США. Она также ведет к диабету 2 типа и даже раку печени.

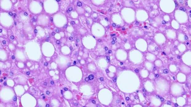
Гистологическое изображение жирной печени человека с большими белыми липидными частицами /newsnetwork.mayoclinic.org/
Как алкоголь приводит к болезни печени
Ученые из США показали, что в норме фермент VCP контролирует белок HSD17β13, удаляя его с поверхности липидных капель — жировых хранилищ в клетках печени.
Такой контроль не дает жирам накапливаться чрезмерно.
Однако при избыточном употреблении алкоголя VCP почти полностью исчезает с поверхности капель, и HSD17β13 быстро накапливается.
Это запускает патологическое разрастание жировых включений.
Визуализация процесса подтвердила, что VCP действует совместно с шапероновым белком и направляет поврежденные белки в лизосому для утилизации.
При блокировке этого пути нарушается баланс переработки жиров, и клетки печени начинают повреждаться.
«Мы были поражены: все опыты указывали на то, что именно VCP отвечает за перенос HSD17β13 с поверхности липидной капли к лизосоме», — отметила автор исследования Сандхья Сен.
По словам руководителя работы Марка МакНивена, выявленный механизм не только объясняет влияние алкоголя на печень, но и открывает перспективу создания лекарств, воздействующих на белок HSD17β13.
Исследование стало частью инициативы Precure, направленной на разработку инструментов для предсказания и предотвращения болезней еще до их перехода в тяжелые стадии.
Ученые уверены: понимание роли фермента VCP поможет не только лечить, но и заранее определять пациентов с высоким риском повреждений печени из-за алкоголя.
Читать далее →
Свежие комментарии